Dental Implants

Dental Implants in Sector 70 Noida – Permanent Solution for Missing Teeth

Dental Implants

Missing a tooth can affect your smile, confidence, and ability to chew properly. At Family Dental Clinic Multispeciality Centre, we offer advanced and long-lasting dental implants in Sector 70 Noida to restore your smile naturally and permanently.

If you are searching for a tooth implant near me or the best implant dentist in Noida, our clinic provides safe, painless, and scientifically planned implant treatments using modern technology and strict sterilization protocols.

πŸ“ž Call 9312602591 to book your consultation today.

What Are Dental Implants?

Dental implants are titanium posts placed inside the jawbone to replace missing tooth roots. Once healed, a custom-made crown is fixed on top, giving you a natural-looking and fully functional tooth.

Unlike removable dentures or traditional bridges, dental implants provide permanent teeth replacement in Noida without affecting adjacent teeth.

Benefits of Dental Implants

βœ…Permanent teeth replacement

βœ…Improved chewing ability

βœ…Better speech

βœ…Enhanced facial aesthetics

βœ…Increased confidence

βœ…Prevents shifting of adjacent teeth

If you are looking for the best implant dentist in Noida, book your consultation and restore your smile today.

dental implants in sector 70 noida showing titanium implant structure

Why Choose Dental Implants Over Bridges or Dentures?

Many patients ask whether they should choose dentures, bridges, or implants. Here’s why implants are considered the gold standard:

βœ” Preserve Jawbone

Implants prevent bone loss that usually occurs after tooth loss.

βœ” No Damage to Adjacent Teeth

Bridges require cutting healthy teeth. Implants don’t.

βœ” Natural Look & Feel

Implants function just like real teeth.

βœ” Long-Term Solution

With proper care, dental implants can last 20+ years.

If you want a long-lasting and stable solution for missing teeth, dental implants in Sector 70 Noida are the most reliable option.

  • To replace one or more missing teeth
  • To support a bridge or denture for better stability
  • To prevent jawbone deterioration after tooth loss
  • For patients looking for a fixed, long-term solution over removable dentures

Dental Implant Procedure – Step by Step

dental implant procedure in noida at family dental clinic sector 70

Many patients worry about the procedure. Here’s how it works

1️⃣ Consultation & Examination

Detailed oral check-up and digital imaging.

2️⃣ Treatment Planning

Customized implant plan based on bone condition.

3️⃣ Implant Placement

Titanium implant placed under local anesthesia (minimal discomfort).

4️⃣ Healing Period

Implant integrates with bone (3–4 months).

5️⃣ Crown Placement

A custom ceramic crown is fixed for a natural appearance.

Our clinic follows advanced sterilization and safety protocols to ensure smooth and comfortable treatment.

Cost of Dental Implants in Sector 70 Noida

The cost of dental implants depends on:

  • Type of implant
  • Number of implants required
  • Bone grafting (if needed)
  • Crown material

At our clinic, affordable dental implants in Noida are available with transparent consultation and flexible payment options.

For exact cost evaluation, visit our clinic for a personalized treatment plan.

πŸ“ž Call 9312602591 for appointment.

Are Dental Implants Painful?

This is one of the most common concerns.

The procedure is performed under local anesthesia, making it virtually painless. Mild discomfort after surgery is manageable with prescribed medication.

Most patients return to normal routine within 1–2 days.

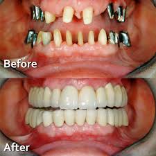
before and after dental implant treatment in noida

Aftercare and Maintenance

Dental implants require the same care as natural teeth:

  • Brush and floss daily
  • Visit your dentist regularly for checkups
  • Avoid smoking, which can interfere with healing
  • Use a night guard if you grind your teeth

With proper care, implants are one of the most durable tooth replacement options available.

Who Is a Good Candidate for Dental Implants?

You may be suitable if:

  • You have one or more missing teeth
  • You have healthy gums
  • You have sufficient jawbone
  • You want a permanent solution instead of removable dentures

Even diabetic or elderly patients can get implants after proper evaluation.

Success Rate of Dental Implants

Dental implants have a success rate of more than 95% when performed by an experienced dentist and maintained with good oral hygiene.

Regular dental check-ups ensure long-term durability.

Why Choose Family Dental Clinic Multispeciality Centre?

Patients choose us for dental implants in Sector 70 Noida because:

βœ” Experienced implant dentist
βœ” Modern digital diagnostic tools
βœ” Strict sterilization standards
βœ” Patient-friendly environment
βœ” Transparent consultation
βœ” Convenient location in Sector 70, Noida

We focus on both functionality and aesthetics, ensuring your new tooth blends naturally with your smile.

FAQ – Dental Implants


Q1.What are dental implants?

Dental implants are artificial tooth roots made of titanium that are placed into the jawbone to replace missing teeth. They support a crown, bridge, or denture and function like natural teeth in appearance and strength.

Q2.Are dental implants painful?

Dental implant surgery is usually painless because it is done under local anesthesia. Mild discomfort or swelling may occur for a few days after the procedure, which can be managed easily with prescribed medicines.

Q3.How long do dental implants last?

With proper oral hygiene and regular dental check-ups, dental implants can last 15 to 25 years or even longer or Lifetime. They are considered one of the most long-lasting tooth replacement options available.

Q4.What is the cost of dental implants in Noida?

The cost of dental implants in Noida depends on factors such as the type of implant, number of teeth replaced, bone condition, and crown material. An exact cost can be shared after a dental examination.

Q5.Who is a good candidate for dental implants?

Anyone with one or more missing teeth, healthy gums, and sufficient jawbone is generally a good candidate for dental implants. Patients with controlled medical conditions can also safely undergo implant treatment after evaluation.

Q6.How long does dental implant treatment take?

Dental implant treatment usually takes 3 to 6 months to complete. This time includes implant placement, healing, and crown fixation, depending on individual bone healing and treatment requirements.

Q7.Are dental implants safe?

Yes, dental implants are a safe and well-established dental procedure with a success rate of over 95% when performed by an experienced dentist and followed by proper aftercare

Q8.What care is needed after dental implant surgery?

After implant surgery, patients should maintain good oral hygiene, avoid smoking, follow prescribed medications, and attend regular dental check-ups to ensure proper healing and implant longevity.

Q9. Can diabetic patients get dental implants?

Yes, patients with well-controlled diabetes can safely get dental implants. A detailed medical evaluation is done before the procedure to ensure proper healing and long-term success.

Q10. Why should I choose Family Dental Clinic for dental implants in Noida?

Family Dental Clinic Multispeciality Centre in Noida offers advanced implant technology, strict sterilization protocols, and personalized care under the supervision of an experienced dentist for safe and reliable results.


Book Your Dental Implant Consultation Today

Don’t let missing teeth affect your confidence and oral health. Get expert-guided and affordable dental implants in Sector 70 Noida at Family Dental Clinic Multispeciality Centre.

Restore your smile permanently with advanced implant treatment.

Rediscover your smile and confidence with our expert implant solutions!
πŸ“ž Book your implant consultation today: 9312602591
πŸ“Family Dental Clinic Multispeciality Centre, Sector 70,Noida

β€œCall Dentist Now”